Veneers: Steve H.
Description
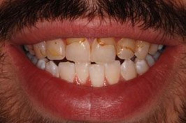
Zoom! Whitening, gum lift with ten porcelain veneers
ST: “My experience with Dr. Lerch and her team was fantastic. Every step of the way they were there to make me feel 110% comfortable and confident in my teeth and care. Thank you so much. I love my new smile!!!”
Dr. Lerch: “Let me introduce to you a wonderful young man whom we will refer to as ST. We fell in love with ST the very first day we met him. His quiet, respectful and humble manner impressed us all. So did the fact that he hid his smile. We wanted to take on the transformation of ST. See when someone comes into our office not being able to smile and then eventually leaves with the ability to grin like a Cheshire Cat – THAT is a transformation! Their ENTIRE life changes: self-expression explodes, smiles abound, happiness comes knocking at their door, ideas that were dreams start coming true. It is an amazing adventure and it happens EVERY time when the reason for not smiling is addressed!
By age 24, ST and his parents had tried everything to get his teeth even, white and bright. Due to a series of childhood events ST’s enamel was damaged and no matter how much fluoride therapy or brushing skills or whitening products were used, ST’s smile just never blossomed. Even after dental bonding, the results just did not do ST justice. In the consultation we talked about dental porcelain veneers. ST’s teeth were strong under the damage and stained outer enamel, strong enough to support veneers. Further ST has begun to show a real commitment to his home oral hygiene care. Finally his teeth were in the right place, so the foundation of his bite did not need any changes. And in the end ST was supremely satisfied! And so were we.”




